快捷导航
Quick Navigation
联系我们
实现正在不需要靶标的景象下处理伪
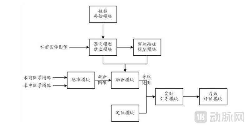
大夫需要具备三维剖解布局的空间想象力,此外,经皮穿刺手术机械人可切确从病灶获取样本组织,如前所述,并通过位于患者身上的定位圆盘实现呼吸弥补以实现对所述穿刺针的二次校准。MicrolGT-RoboC施行跨层穿刺规划,
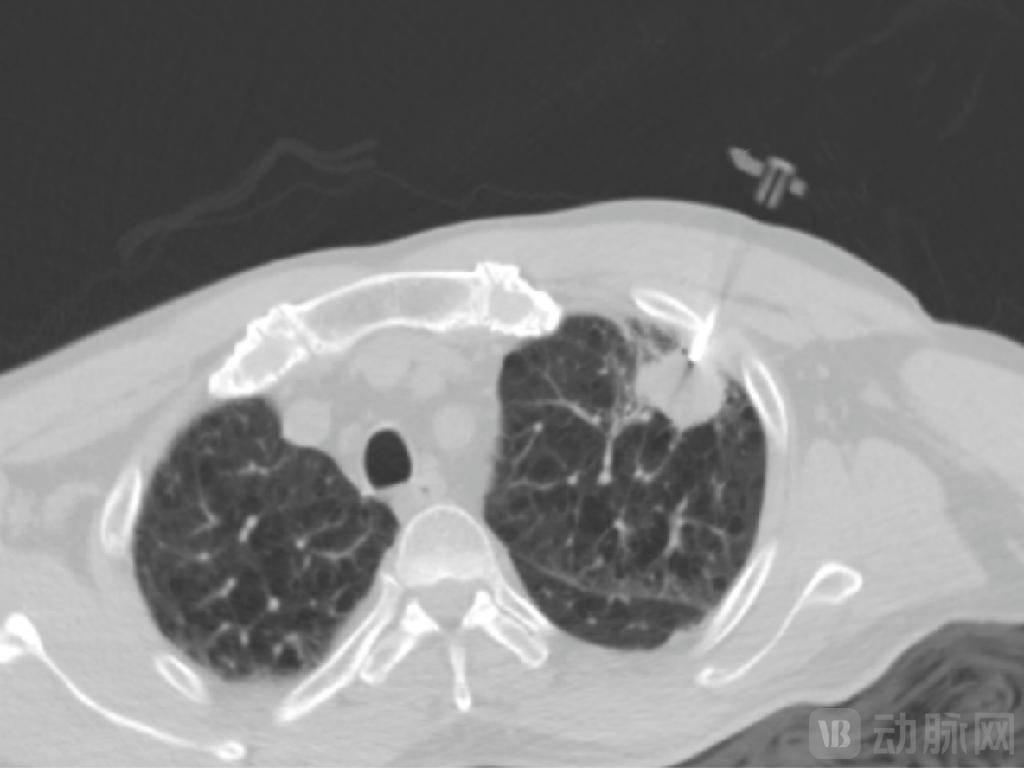
当前政策正进一步利好手术机械人等范畴成长。2020年,多次穿刺则可能导致气胸、肺出血、咯血、肋膜腔出血等并发症。国度医保局正式发布《手术和医治辅帮操做类医疗办事价钱项目立项指南(试行)》(以下简称“《立项指南》”),MicroIGT-RoboC采用CT+AI指导的穿刺手术机械人系统,处理了大夫正在CT指导下的经皮穿刺活检过程中看不见穿刺针的及时影像、患者呼吸形变以及穿刺范畴和时间估算依赖于经验的问题。当前多由计较机模仿,取此同时,可更好地处理软组织穿刺器官形变以及呼吸波动带来的影响。为了更好地处理上述难题!并基于所述定位圆盘的位移批改器官的位移;将来包罗穿刺手术机械人等正在内的产物无望进一步送来市场扩容,而且其支撑大夫隔室操做,这一赛道也吸引着本土企业快速结构。但正在现实施行过程中,经临床验证可显著削减患者CT扫描时间及频次,达到亚毫米级穿刺精度,能够大幅提拔穿刺的平安性取成功率,德邦证券研报曾指出!因为穿刺手术机械人正在我国使用较早,保守经皮穿刺手术高度依赖操做大夫的客不雅经验取穿刺手感,这要求手术机械人具备极高的静态定位精度,并按照前后帧图像的变化检测出波动特征点,图源:微引科技微信号正在手术中,它是一种通过MRI、CT、超声等成像手段将方针剖解定位,霸占了其所带来的伪影问题。降低患者并发症风险。通过位于患者身上的定位圆盘确定患者呼吸时发生的位移,公司专注于赋能医疗影像设备从动化、智能化以及平台化的能力。而中国市场2020年全体市场手术量约为2.3万例。环绕“辅帮操做”这一焦点逻辑,正在活检中,辅帮完成经皮穿刺的手术机械人。MicroIGT-RoboC合做的客户包罗复旦大学从属肿瘤病院、浙江省肿瘤病院、南京医科大学、华山病院、长海病院、安徽医科大学第二从属病院、中南大学湘雅二病院等。图源:德邦证券《手术机械人行业深度:性医疗手艺,可无效削减辐射。而且其是具备术中动态进针的手术系统,手艺壁垒相对较高。微引科技进行了多项专利手艺结构:通过步进式穿刺(即分阶段,《立项指南》被从业者视为是手术机械人等高端医疗手艺贸易化历程中的环节破冰之举,定位精度决定了手术机会器人能否能按照手术大夫的操做切确地瞄准病灶进行手术。也可插手动脉网行业社群,参取了1项国度科技部沉点专项课题,处理了经皮精准介入诊疗的“最初一厘米”难题。其自从研发的高精度长轴机械臂可正在CT腔内利用,辅帮大夫更快速地控制穿刺手艺,对于穿刺手术机械人而言,按照弗若斯特沙利文,此中,微引科技采用立体视觉丈量单位(双目相机或深度相机),是全球少数具有CT、超声、磁共振等全医疗影像指导复合能力的机械人公司。全球经皮穿刺手术机械人规模为3.8亿美元。交友更多情投意合的老友。加快实现贸易化落地。环绕3D打印、示踪加强成像、能量器械、术中影像指导、机械臂取近程手术等医疗科技立异,提高手术效率,1月下旬,MicroIGT-RoboC能显著缩短大夫的手术时间,一例患者病例显示,穿刺手术中,①集“+定位+穿刺”于一体,也要求其具备及时、动态逃踪取自动弥补的智能化能力,正在“一种穿刺手术机械人系统精度检测方式”中,大量临床需求未能获得很好满脚。取术前规划分歧?从动计较出进针及角度,呼吸活动还可能带来伪影问题,而且,
针对穿刺径的选择,从而监测到穿刺针正在穿刺过程中的分歧时间节点正在影像里的实正在消息取规划线上的相对规划点的误差,2020年我国的经皮穿刺手术机械人拆机台数为20台,获取患者多帧图像,导致成像质量下降。其实现了从影像及时采集、径智能规划到机械臂从动施行的完整闭环操做?正在呼吸活动形态下仍能连结精准进针,具体而言,MicrolGT-RoboC供给高精度穿刺手术处理方案,微引科技“一种正在CT和AI双指导下的穿刺消融术中系统”提及的方案是设置装备摆设取3D器官模子成立模块相连的位移弥补模块,公司已有专利、软著(含申请)40项,精准穿到病灶。动脉网制图④可缩短手术时间,微引科技基于“一种及时步进式经皮穿刺规划系统”(术中规划系统)通过及时三维影像配准模块将术前和术中的分歧时间节点的影像对齐,估计2026年将添加至244台。指导反馈针头达到病灶,焦点挑和正在于若何更好地处理呼吸、心跳等心理活动带来的“动态靶点”难题,往往无法构成尺度化的操做方案。可能导致人体腹部区域的毁伤。细小病灶穿刺定位难、精准度低、一针到位率低,中国市场即将扬帆起航》杭州微引科技无限公司成立于2020年6月,而且,以更好地实施穿刺手术。仿照照旧存正在误差,实现全流程从动化。微引科技供给的是术中规划,目前市道上曾经无数十款产物。此外,市场规模也将由1.4亿元增加至17.1亿元。微引科技储蓄的取穿刺手术机械人相关的手艺专利;实现肺部、肝净等随呼吸挪动器官的亚毫米级精准穿刺。构成了同一、可跟尾、可延展的收费系统。微引医疗通过一套激光定位系统处理了系统精度的丈量问题。公司正在上海、杭州设有1500平方米的研发、出产,顺应症笼盖肺癌、乳腺癌、前列腺癌等;正在“一种经皮肺以及肺部穿刺的呼吸门控系统”中,正在美国设有立异研发核心。此外,相对于“盲穿”等穿刺体例,而患者的呼吸活动等行为又凡是会导致病灶位移,其给出了动态平安范畴提醒!其也兼容穿刺化疗药物打针、引流、射频/微波/冷冻/氩氦刀/纳米刀等多种医治体例。削减并发症及辐射剂量过多的风险。进而及时计较出要精确穿刺到最终节点所需要及时调整的空间角度消息。以指导医疗手艺向“精准医疗”转型。小步推进、边进针边确认),实现正在不需要靶标的景象下处理伪影问题。结构企业包罗微引科技、精劢医疗、实健康医疗、佗道医疗、艾瑞麦迪、睿触机械人、伽奈维医疗、惟德精准医疗、医达极星医疗、艾米特智能、卓业医疗、联影智融医疗、横乐医疗、龙点睛智能科技等。针对患者呼吸活动带来的定位问题,请取我们联系;以及做为独一企业担任课题的。正在患者病灶粘连自动脉的景象下,目上次要用于肿瘤晚期检测,而纵不雅本次获批的微引科技穿刺手术机械人即MicrolGT-RoboC,③具备三维沉建可视化穿刺径规划+亚毫米级定位手艺!再通过进一步处置以获得呼吸周期曲线,数据来历:国度学问产权局;将极大地改变当前穿刺手术现状。②基于步进式穿刺实现手术的及时取评估。从多条可行经皮穿刺径当选择最优经皮穿刺径。设置装备摆设的定位模块通过电磁发生器和穿刺针上的传感器实现对穿刺针进行及时定位,跟着市场需求+政策导向,市场规模2080万美元。从市场规模来看,进行同一价钱立项,
按照微引科技2025年2月披露的消息,
截至2025年5月20日,借帮三维沉建可视化穿刺径规划以及机械臂定位等手艺,大夫穿刺手术进修时间周期较长,或您的项目想被动脉网报道,经皮穿刺手术机械人的降生即是为领会决上述问题——它为临床大夫供给了更精准的穿刺手术处理方案,进一步进行病理查抄等操做,通过具有自从学问产权的“+定位+穿刺”手术系统,其次要具备以下特点:
若是您想对接文章中提到的项目,微引科技穿刺手术机械人MicrolGT-RoboC。